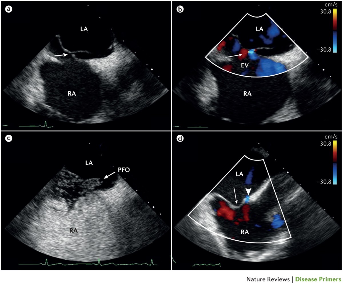
pfo echocardiography sale