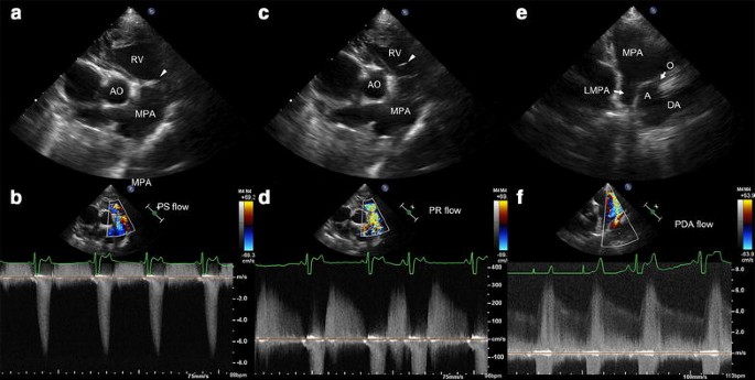
pda heart echo sale